バージョンアップしました!ASIR(GE横河メディカルシステム)
●従来に比べ、密度分解能を向上 全身・全領域対応の低ノイズ画像を提供可能となりました
●被ばく低減を実現
これまで広範囲のCT検査は、多列化が必須条件とされてきました。
多列化は画像への様々な悪影響や、被ばく増の問題もありましたが、今回のバージョンアップにより、列数に頼ることなく高画質、被ばく低減を実現いたしました。
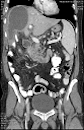
従来のシングルスライスCT、マルチスライスCTと比べ患者さんへの負担が少なく、診断能力の高い超高速ボリュームCT撮影装置。
このボリュームCTにより早期発見から早期治療へつなげることが可能となり、心臓カテーテル検査の代替としても期待されます。
一部の症例以外では、従来の心臓カテーテル検査なしに血管狭窄の評価が可能であり、万が一、心筋梗塞になられた場合でも治療後の経過観察の心臓カテーテル検査は不要となります。
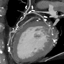
①安定した心臓撮影 : 心臓を5秒にて撮影(従来のマルチスライスCTでは約20秒間撮影)
②高速な撮影 : 全身を20秒、0.625mm厚にて撮影可能
③快適度 : 一部の検査では、造影剤の使用量を従来のCTの半分程度に減らすことができます。







※詳しくは画像をクリックして下さい。